その他のセラミック症例
セラミックインレー症例
1.金属の詰め物の歯を
セラミックインレーにしたい
治療前

治療後

治療内容
金属の詰め物を除去し、e-maxという材料を用いてメタルフリーで治療しました。
治療時期 | 2021年9月 |
---|---|
主訴 | 金属の詰め物を白くしたい |
治療期間 | 2週間 |
治療費 | 148,500円(税込) e-max インレー3本分 |
リスク | セラミックの破折、色調の再現に限界があります |
2.虫歯をセラミックインレーにしたい
治療前

治療後

治療内容
虫歯をしっかり取り除き、e-max という材料を用いてメタルフリーで治療しました。
治療時期 | 2021年11月 |
---|---|
主訴 | 虫歯を治療したい |
治療期間 | 2週間 |
治療費 | 99,000円(税込) e-max インレー2本分 |
リスク | セラミックの破折、色調の再現に限界があります |
セラミッククラウン症例
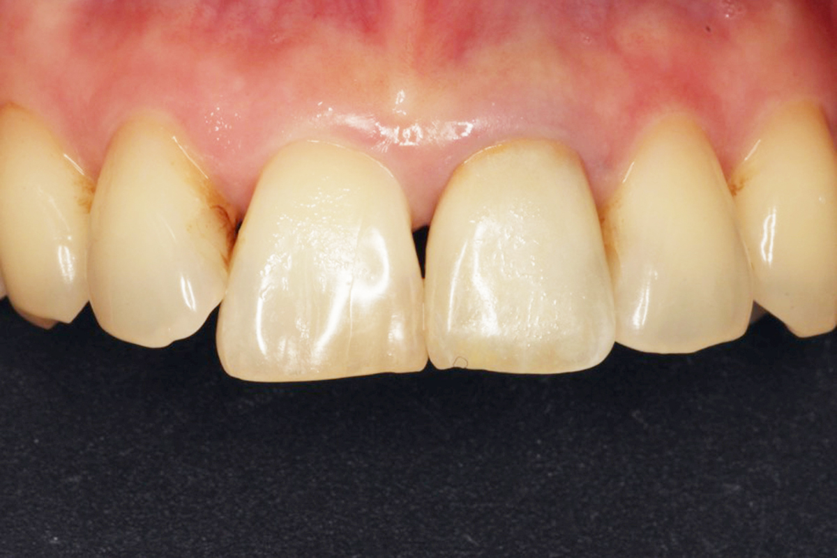
1.被せ物の根元が黒くなって気になり、
セラミッククラウンにしたい
治療前

治療後

治療内容
被せ物のみの対応で治療しました。
治療時期 | 2022年3月 |
---|---|
主訴 | 被せ物の根元が黒くなっていて気になる |
治療期間 | 1ヶ月 |
治療費 | 154,000円(税込)e-max築盛仕上げ |
リスク | セラミックの破折、色調の再現に限界があります |
2.被せ物の根元の変色が気になり、
セラミッククラウンにしたい
治療前

治療後

治療内容
土台からファイバーコアを用いてメタルフリーで治療しました。
周りの歯も白くしたいというご希望があったため最終補綴前にオフィスホワイトニングを実施しました。
治療時期 | 2022年6月 |
---|---|
主訴 | 被せ物の根元の変色が気になる |
治療期間 | 約2ヶ月 |
治療費 | 33,000円(税込)オフィスホワイトニング 380,600円(税込)ジルコニア築盛仕上げ 2本 |
リスク | セラミックの破折、色調の再現に限界があります |
3.被せ物が脱離しため、
セラミッククラウンにしたい
治療前

治療後

治療内容
土台からファイバーコアを用いてメタルフリーで治療しました。
治療時期 | 2022年6月 |
---|---|
主訴 | 被せ物が脱離した、審美的に改善したい |
治療期間 | 約1ヶ月 |
治療費 | ¥190,300(税込)ジルコニア築盛仕上げ |
リスク | セラミックの破折、色調の再現に限界があります。 |