|
|
月 | 火 | 水 | 木 | 金 | 土 | 日 |
|---|---|---|---|---|---|---|---|
| 9:30〜13:30 | - | ● | ● | ● | ● | ● | ● |
| 15:00〜19:30 | - | ● | ● | ● | ● | ▲ | ▲ |
▲ 15:00〜18:30 休診日:月曜日、祝日
とのことで、当院に来院されました。
診査の結果、前歯の歯根破折が判明し、保存は不可能な状態だったため、抜歯を前提とした治療計画を立てることになりました。
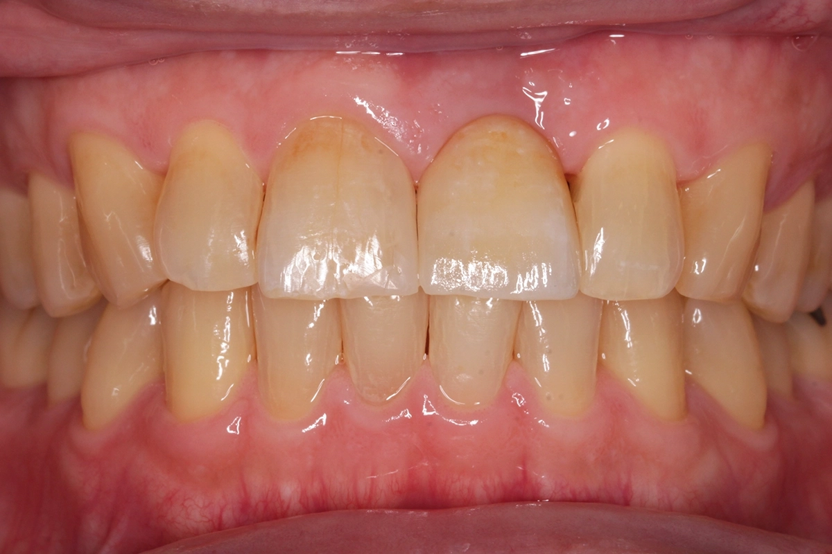
また、折れた歯の隣の歯も小さな欠けや着色があり、見た目に左右差が出ていました。
選択肢としては、
患者様は「なるべく他の歯をいじらず、自然な仕上がりにしたい」とご希望され、インプラント治療を選択されました。
抜歯後の骨の治癒を待ち、前歯部にインプラントを埋入。
前歯は、審美的な要求が高い部位のため、歯茎の形態や周囲組織の状態にも細心の注意を払いました。
また、インプラントの歯だけが目立たないように、両隣の歯にも自然な見た目になるような調整を行いました。
具体的には、色のトーンや歯の形がそろうように、隣の歯にダイレクトボンディング(歯の表面に樹脂を盛り足す処置)を施し、全体のバランスを整えています。
「どこがインプラントか自分でも分からないくらい自然」「人前でも気にせず笑えるようになった」「周りの歯も一緒に整えてもらえて、口元に自信が持てるようになった」と、治療後の仕上がりに大変満足していただけました。
前歯部のインプラントは、ただ歯を入れるだけではなく、“周囲の歯や歯茎との調和”が非常に大切です。
今回は患者様の美意識も高く、ご希望を丁寧に汲み取りながら、インプラント+ダイレクトボンディングで自然な仕上がりを実現できました。
| 治療時期 | 2024年8月 |
|---|---|
| 主訴 | 前歯の根が割れて膿んでいるので抜歯してインプラントにしたい |
| 治療内容 | 抜歯と同時にインプラント埋入手術を しました。 周囲の歯も審美的にダイレクトボンティングを行いました。 |
| 治療期間 | 4ヶ月 |
| 治療費 | 550,000円(税込)インプラント(前歯) 1本分 55,000円(税込)抜歯即時埋入加算 |
| リスク | セラミックの破折、 色調の再現に限界があります。 |
〒166-0004
東京都杉並区阿佐谷南3丁目35−8
パークハウス阿佐ヶ谷レジデンス 1F
| 月 | 火 | 水 | 木 | 金 | 土 | 日 | |
|---|---|---|---|---|---|---|---|
| 9:30〜13:30 | - | ● | ● | ● | ● | ● | ● |
| 15:00〜19:30 | - | ● | ● | ● | ● | ▲ | ▲ |
▲ 15:00〜18:30 休診日:月曜日、祝日